Reserva una cita

ENDODONCIA
CONDESA

Dra. Elvira Gil Martínez

Llama ahora: 55-1645-6505

ENDODONCIA CONDESA

Dra. Elvira Gil Martínez

Llama ahora: 55-1645-6505

Mal aliento (Halitosis)

Mujer sorprendida con una mano en la boca 
              percibiendo su mal aliento (halitosis)

El mal aliento es una situación que puede perjudicarnos con nuestras amistades, en la relación de pareja e inclusive en nuestro trabajo.

Muchos trabajos, sino es que en la mayoría de éstos, se debe de tener una apariencia impecable, ya sea porque tenemos contacto con muchas personas o porque así son las reglas internas.

Cerca del 98% de las causas del mal aliento (halitosis) se debe a enfermedades donde es necesaria la evaluación e intervención de profesionales de la salud bucal y otorrinolaringólogos, quienes deben trabajar juntos para tener éxito en el tratamiento contra la halitosis bucal.

Una variante de este problema es que las personas que lo sufren no se dan cuenta, esto se debe a que ellas por decirlo de este modo "ya no perciben su halitosis", sin embargo se ha visto en un porcentaje alto que las mujeres se dan cuenta más rápido de su problema en comparación con los hombres; aunque cabe resaltar que esta patología es más frecuente en hombres.

Hombre con mal aliento (halitosis) cerca de una 
              mujer molesta por su aliento

La edad para presentar dicha patología puede variar, inclusive los niños y los adolescentes pueden presentarla.

Existen 4 factores principales que causan halitosis:

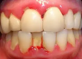
1. De origen bucal (90%): caries, enfermedad periodontal, placa lingual, fistulas orales, úlceras, restos de alimentos, cáncer.

Dientes con enfermedad periodontal

2. De origen del Sistema Respiratorio (8%): faringitis, tonsilitis, sinusitis, bronquitis, cuerpo extraño nasal, carcinoma bronquial, branquiectasias.

Tonsilitis: Inflamación de las amigdalas

3. De origen del Sistema Digestivo (1%): esofagitis por reflujo, hernia hiatal, helicobacter pylori.

Monografia de Helicobacter Pylori

4. Otros (1%): insuficiencia renal y diabetes.

Aparato medidor de la azúcar

Lo correcto tras saberse que presenta halitosis es acudir al dentista para que valore y diagnostique el origen de ésta. No es recomendable la automedicación ya que lejos de solucionar el problema puede empeorar la situación.

A veces olvidamos el cepillo dental o simplemente no tenemos tiempo de realizar nuestra higiene bucal, les aconsejo cargar siempre con ustedes una manzana o un trozo de apio, esto les ayudará a eliminar el mal olor de la comida o del desayuno, pero OJO... esta no es la solución, si bien es una ayuda momentánea, la solución es realizar la higiene bucal correspondiente en cuanto se pueda.

Mujer mordiendo manzana

Muchas personas no se atreven a decirle a su amigo, compañero o pareja que presentan mal aliento, y para quienes lo saben esto puede afectar gravemente su autoestima.

Así que ya saben, lleven en su bolsa o en el carro una manzana o un trozo de apio y eso les ayudará momentáneamente y recuerden...

Hagan un hábito el ir al dentista.

Dibujo en 3D de una muela y un médico abrazados